王女士 爱穿高跟鞋的女性一定要小心,拇指外翻堪比“裹脚”!不可忽视
如今,许多女性朋友都喜欢穿高跟鞋,因为她们热爱美貌或职业。但你知道吗?长时间穿高跟鞋会严重伤害你的脚,甚至会导致拇指外翻。在南京的王女士不幸被招募,不得不接受手术矫正。

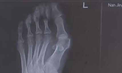
文章插图
穿高跟鞋是不少女生出门前的必备,今年32岁的王女士十几年前就有了穿高跟鞋的习惯。然而就在最近,自己的脚趾出现了惊人的变化,两边的大脚趾一侧渐渐突起了一个硬疙瘩,走路一久就疼痛不已。

文章插图
由于高跟鞋的挤压,王女士的左脚大脚趾变成了两个脚趾,随着时间的推移,大脚趾一侧又多了一个 \\\\'\\\\'拐\\\\'\\\\',现在只能通过手术来缓解症状。除了鞋子不当,遗传和疾病因素也是造成拇指外翻的原因,70 岁的高女士患风湿病,脚也发生了接近 60 度的严重变形。

文章插图
忍痛十几年,直到前几天,高女士连男士的鞋子都穿不上,眼看着不能走路了才来到医院就诊,而这时手术的风险和难度都增大很多。

文章插图
以上关于本文的内容,仅作参考!温馨提示:如遇专业性较强的问题(如:疾病、健康、理财等),还请咨询专业人士给予相关指导!
「辽宁龙网」www.liaoninglong.com小编还为您精选了以下内容,希望对您有所帮助:- 设计 51岁王菲太精致,生图状态不见皱纹,穿黑色长裙气场十足
- 黑色 窦靖童也太潮了吧,剪“三毛头”穿印花裤,个性张扬太像王菲
- 样式 王鸥脸油的发光,肤色本来就黑,穿白裙不是自黑?
- 材质SPIRAL STUDIO 哥斯拉: 怪兽之王 泰坦巨兽 穆托女王 雕像
- 西班牙王后头发白了不少,穿格纹大衣气质依旧高级,从容老去真美
- 身材 西班牙王后头发白了不少,穿格纹大衣气质依旧高级,从容老去真美
- 索菲亚王后对儿媳不苛刻,珠宝只要你要只要我有,耳环项链随便挑
- 黑色 女王必备,美出新高度!
- 肩头 简约风,打造气场女王
- 凯特王妃40岁后首现身,和威廉“打情骂俏”真甜蜜,眼角皱纹清晰
