小美说美 智齿不痛的话可以不拔吗

文章图片

文章图片

文章图片

文章图片

有一种东西
被称为人类进化史上BUG一样的存在
它虽然很小 , 却经常喜欢搞事情
我们疼得死去活来 , 它却慵懒躺下
想把它请出身体 , 还得再受一顿苦……
这便是折磨着很多人 , 尤其是年轻人群体的
——智齿
大概80%的人 , 对智齿都不是十分了解
剩下那20%
应该是医生和那些拔过智齿的勇士吧
那接下来
就给大家全面科普一下
关于智齿的那些事儿
智齿到底是怎么回事?
口腔最靠近喉咙的牙齿就是我们常说的智齿 , 若是全部生长出来共有4颗 , 上下颌各两颗 , 一般情况下在人到了16岁以后 , 智齿才生长出来 , 由于是在人类心智已经趋于成熟时才长出 , 就有了“智齿”这个名字 。
有调查显示:在我国16岁至25岁的人群中 , 智齿的萌出率为54% 。 在已经萌出的智齿中 , 阻生和错位约占44%, 其中发生在下颌者约是上颌者的2.5倍 。
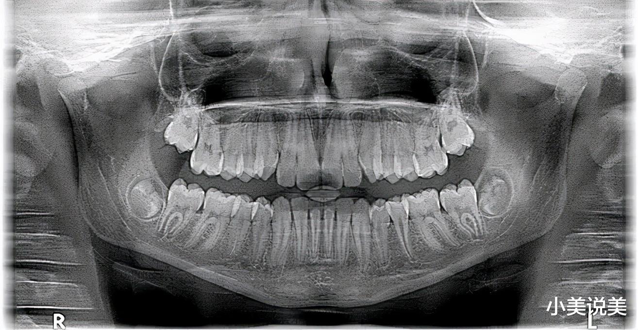
智齿在X线片上很清晰▼
由于萌出位置不足 , 智齿可能部分或全部被龈瓣覆盖 , 再加上位于口腔的最内侧 , 刷牙的时候十分难清理到 , 导致细菌滋生引发智齿冠周炎 , 进而使开口活动、咀嚼、吞咽疼痛加重 。
到了冠周炎的中后期 , 会表现为口臭、舌苔变厚、智齿周围流脓等症状 , 甚至半边脸都会肿起 , 口张不开 , 不能进食 , 可能伴随发烧 、头痛、便秘、淋巴结发炎肿大等 。
智齿到底要不要拔?
关于智齿到底该不该拔这个问题 , 目前口腔医学界普遍认为:
- 如果智齿经常发炎则应视为口腔病灶 , 毫无疑问 , 无论长得正还是歪都必须拔除;而从来不发炎的智齿 , 如果长成正位 , 有正常咬合功能 , 无龋坏 , 可以保留不拔;如果是肉眼可见的前倾阻生型 , 不管是否发过炎 , 一般是建议拔除;女性备孕前则强烈建议拔除 , 因为它如同不定时炸弹 , 具有冠周炎的潜质和破坏邻牙的潜在危害 。
还有一种情况比较多见 , 低位埋伏型智齿 , 大部分为水平埋伏 , 是否需要拔除目前尚无绝对权威观念 , 虽然有少数病例可发展至影响邻牙健康或形成“含牙囊肿”而不得不接受手术 , 但大多数并无此类倾向 。
考虑到由于到此类智齿拔除术创伤大操作复杂 , 如果没有出现临床症状 , 多可动态观察 , 不一定必须拔除 , 当然也有人进行了预防性拔除 , 这种就象少数人在出国之前预防性切除阑尾一样 , 不建议也不反对 。
什么样的人最该拔智齿?
别带着牙疼怀孕 , 准备怀孕之前 , 女性最好能先做一次全面的口腔检查 。 智齿、牙周炎……反复发作让孕期妈妈很痛苦 , 为避免对孕妇和宝宝的影响 , 孕期又不能通过拔牙根除病灶 。 不仅如此 , 口腔疾病对胎儿出生后的不良影响也令人担忧 。
在临床上发现 , 胎儿的早产和母亲在孕期的牙齿保健有着密切关系 。 “孕期患有中、重度牙周病可导致早产和低出生体重儿发生率显著增高 。 ”
以上关于本文的内容,仅作参考!温馨提示:如遇专业性较强的问题(如:疾病、健康、理财等),还请咨询专业人士给予相关指导!
「辽宁龙网」www.liaoninglong.com小编还为您精选了以下内容,希望对您有所帮助:- 杭州美莱整形医院:脸部做补水的时候,为什么会有刺痛感?
- 显得 白色衬衫款连衣裙搭配透明高跟鞋,清新甜美又可爱,你敢尝试这种穿搭吗?
- 气质 “气质校花”陈都灵,穿红色蕾丝裙秀美腿,气场冷艳又迷人
- 高跟鞋 平价大衣如何穿出高级范?五套好看的穿搭look,美成风景画
- 上臂 田海蓉美到国外去,穿露脐上衣带女儿看秀,身材曼妙很抢眼
- 曲线 张雨绮真是自信又敢穿,挂脖长裙秀出凹凸身材,美出新高度
- 大气 早春时节乍暖还寒,中长款羽绒服下身这样搭,甜美减龄更时尚
- 唯美 汤唯美出了国际范,穿深蓝色吊带裙优雅大方,素颜状态也很美
- 蓝色 袁姗姗也来扮少女,穿水蓝色纱裙秀香肩,壮硕上臂不太美
- 披肩 Baby长相甜美又会穿,黑色刺绣风吊带裙典雅大方,披肩卷发更迷人
