大拇|路医生说丨高跟鞋美女脚下的痛,得了“拇外翻”,该怎么办?

文章插图
如果仔细观察不难发现,如今女性时尚点的鞋子大多都是“尖头”的,尤其是高跟鞋。这种尖头的鞋子的确可以让脚的外观轮廓显得更修长美丽,尤其是高跟鞋更能让女性的双腿显得修长,整体气质得到明显提升。但是,这种变美的同时,也是付出了代价的。那就是,我们的脚趾头受了罪,尤其是大拇脚指头。实际上,大脚趾的拇外翻畸形在女性群体中非常常见,即便是不穿高跟鞋的女性也有很多会患有拇外翻畸形。而且这种畸形大多数并不是一上来就非常严重,绝大多数拇外翻在一开始都是比较轻没有任何不舒服的,但是如果不注意,这种畸形就很可能会逐渐加重,导致足趾畸形加重,拇囊炎发作疼痛难忍,严重影响生活、工作和运动。那么,拇外翻到底是个什么病,又该如何治疗和保养呢?今天咱们就来聊一聊这个话题。#真相来了#1、啥叫拇外翻?

文章插图
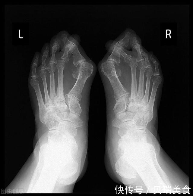
所谓的“拇外翻”,其实就是指:我们的大拇脚指头,在关节部位向外偏斜,而且超过正常生理范围的一种前足畸形。坊间老百姓也会管这个叫“大脚骨”。换句话说,就是:大拇脚指头过度的向外侧,也就是其他脚趾头的方向偏斜。这就让大拇脚指头根会向内侧突出,像突出来一块骨头一样。这就是拇外翻。如果拇外翻严重,或者因为外伤等情况加重,拇外翻突出骨头那部位红肿疼痛,这时候我们就管这个叫“拇囊炎”,也就是拇外翻最常见的因为疼痛不适的原因。2、为啥会得?

文章插图
尽管拇外翻的确切病因并不是非常明确,但是业内还是有较为一致的看法,那就是之所以会得拇外翻,主要是因为患者先天因素和后天因素共同作用的结果。(1)遗传实际上,即便是一次高跟鞋不穿,也没穿过尖头鞋,很多拇外翻患者在年轻时就出现了拇外翻畸形,这点在女性身上尤其常见。因此,可以说先天性的遗传因素是拇外翻发生的重要原因之一。(2)鞋可以说,鞋子是影响最大的后天因素。鞋头尖、鞋跟高的鞋子,都会让我们的脚前掌,尤其是大拇脚指头局部压力增大,长期穿戴会给脚趾关节带来非常不好的影响。(3)其他除了上面说的意外,后天的各种因素,比如:局部外伤、炎症,韧带松弛,神经肌肉系统疾病等等都可能引起拇外翻,或者加重原有的拇外翻畸形。3、怎么治?

文章插图
实际上,和其他疾病一样,拇外翻的治疗也分为“保守治疗”和“手术治疗”两方面。当然,即便是选择“手术治疗”的,同时也会要坚持“保守治疗”。而对于一个拇外翻病人,究竟是选择手术,还是保守治疗,主要看畸形和病情的严重情况,以及患者自身的要求。保守治疗咱们后面详细说,这里简单说下手术。实际上,拇外翻可以说是外科疾病中手术方式最多的,有上百种手术方式。比如只修复软组织不动骨头的,比如截骨头打钢板的,再比如融合的,等等。这里具体的手术方式,也要根据患者的病情来决定。4、怎么保守治疗(保养)?

文章插图
(1)选择合适的鞋子是的,对于拇外翻患者来说,“选择合适的鞋子”,是保养护理的重中之重。这里实际上主要有3个要点:1)鞋头鞋头要尽量宽大,避免穿尖头鞋子。宽大的鞋头很显著减少对前足,尤其是大拇脚指头的挤压,可以有效预防和缓解拇外翻的症状和病情进展。2)鞋跟别穿高跟鞋!鞋跟要尽量低,平跟最好。这是因为只要抬起脚跟,就会让前足,尤其是大拇脚指头的压力显著增加,从而加重拇外翻畸形。3)随身携带宽松鞋子多备几双不同类型鞋子,尤其是在工作单位,可以做到及时更换宽松舒适的鞋。(2)减轻体重实际上,减轻体重的意义并不只是美观,因为我们身体的重量最终都会集中的压在脚上,尤其是脚趾负重区,所以体重越大,足拇指受到的压力就越大,畸形进展就会越快。(3)佩戴辅助支具
以上关于本文的内容,仅作参考!温馨提示:如遇专业性较强的问题(如:疾病、健康、理财等),还请咨询专业人士给予相关指导!
「辽宁龙网」www.liaoninglong.com小编还为您精选了以下内容,希望对您有所帮助:- 女人味 细跟鞋配上丝袜尽显美好身材,走路姿势优雅,散发出亮眼迷人的活力!
- 高跟鞋 尖头细跟鞋让你走路带风,穿出国际范
- 好闺蜜街上一路同行,瑜伽裤衬托两人浓郁的运动气息!
- 网络 68岁奶奶穿JK裙子逛菜市场,背影像18岁少女,路人反应亮了
- 上海 新闸路大田路的墙绘上新啦,栩栩如生!打卡去→
- 卫衣 身高155的小个子,试试这几种搭配思路,显瘦显高穿出时尚范
- 彩绘成博新展 服饰见证丝绸之路文化交融
- 丝绸之路25日开幕的这个展 既看华服又看历史
- 细高跟鞋 小小尖头细高跟鞋,走路姿势优雅,看上去显得很高挑!
- 活动 高圆圆王真儿现身活动,把王真儿衬托成路人,场面混乱粉丝挤红脸
